
Anti-UBE2I/UBC9 Rabbit pAb
- 50 μL
产品信息
|
蛋白质全称 |
SUMO结合酶UBC9 |
|
别名 |
RING-type E3 SUMO transferase UBC9, SUMO-protein ligase, Ubiquitin carrier protein 9, mUBC9, Ubiquitin carrier protein I, Ubiquitin-protein ligase I, Ube2i, Ubc9, Ubce2i, Ubce9, UBE2I / UBC9 |
|
Uniprot ID |
P63280 |
|
免疫原 |
KLH偶联的小鼠UBE2I / UBC9合成肽 |
|
抗体亚型 |
IgG |
|
预测分子量./观测分子量. |
18 kDa / 18 kDa |
|
纯化方式 |
亲和纯化 |
|
亚细胞定位 |
细胞质, 细胞核 |
应用
| 应用 | 物种 | 稀释 | 阳性样品 |
| WB 免疫印迹 | 人, 小鼠, 大鼠 | 1: 1000-1: 2000 | 脾, 胸腺, 肺, 脑 |
| IHC/IF 免疫组织化学/免疫荧光 | 人 | 1: 1000-1: 2000 | B淋巴细胞瘤 |
背景
UBC9 is also named as UBE2I, UBCE9 and belongs to the ubiquitin-conjugating enzyme family. It is a homologue of the E2 ubiquitin conjugating enzyme and participates in the covalent linking of SUMO-1 molecule to the target protein. This protein is present at a high level in spleen and lung. Moderate level of UBC9 is detected in kidney and liver. Low amount of UBC9 is observed in brain, whereas the 18 kDa band of UBC9 is barely visible or absent in heart and skeletal muscle. In heart and muscle extracts the UBC9 antibodies recognizes a 38 kDa protein band,but this band is not visible in extracts of other rat tissues.
图像
|
|
WB检测UBE2I/UBC9蛋白(货号 GB111874). 样品: 经RIPA裂解液(货号G2002)处理的蛋白质. 封闭: 3%脱脂牛奶(货号GC310001)溶于TBST溶液, 室温孵育1小时. —抗: 1: 1000稀释, 4℃ 孵育过夜. 二抗: HRP标记山羊抗兔IgG (H+L) (货号GB23303), 1: 5000稀释, 室温孵育1小时. |
|
|
WB检测UBE2I/UBC9蛋白(货号 GB111874). 样品: 经RIPA裂解液(货号G2002)处理的蛋白质. 封闭: 3%脱脂牛奶(货号GC310001)溶于TBST溶液, 室温孵育1小时. —抗: 1: 1000稀释, 4℃ 孵育过夜. 二抗: HRP标记山羊抗兔IgG (H+L) (货号GB23303), 1: 5000稀释, 室温孵育1小时. |
|
|
WB检测UBE2I/UBC9蛋白(货号 GB111874). 样品: 经RIPA裂解液(货号G2002)处理的蛋白质. 封闭: 3%脱脂牛奶(货号GC310001)溶于TBST溶液, 室温孵育1小时. —抗: 1: 1000稀释, 4℃ 孵育过夜. 二抗: HRP标记山羊抗兔IgG (H+L) (货号GB23303), 1: 5000稀释, 室温孵育1小时. |
|
|
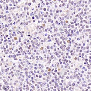
IHC检测UBE2I/UBC9蛋白(货号 GB111874). 样品: 人B细胞淋巴瘤, 4%多聚甲醛 (货号G1101) 固定12-24小时. 抗原修复: 柠檬酸抗原修复液(干粉, pH 6.0) (G1201), 98℃, 20分钟. —抗: 1: 2000稀释, 4℃ 孵育过夜. 二抗: HRP标记山羊抗兔IgG (H+L) (货号GB23303), 1: 200稀释, 室温孵育1小时. |
|
|
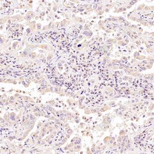
IHC检测UBE2I/UBC9蛋白(货号 GB111874). 样品: 人肺癌, 4%多聚甲醛 (货号G1101) 固定12-24小时. 抗原修复: 柠檬酸抗原修复液(干粉, pH 6.0) (G1201), 98℃, 20分钟. —抗: 1: 1500稀释, 4℃ 孵育过夜. 二抗: HRP标记山羊抗兔IgG (H+L) (货号GB23303), 1: 200稀释, 室温孵育1小时. |
储存
| 储存条件 | 在-20℃下储存一年, 避免反复冻融. |
| 储存缓冲液 | 含0.15% ProClin300防腐剂, 100 μg/mL牛血清白蛋白和50%甘油的磷酸盐缓冲液. |
注意:
1.本产品仅供研究使用.
2.建议用一抗稀释液(G2025)稀释本产品.
| 货号 | 名称 | 规格 | 价格 | 操作 |
|---|
| 货号 | 名称 | 规格 | 价格 | 操作 |
|---|




