
Anti-ZIP Kinase Rabbit pAb
- 50 μL
产品信息
蛋白质全称 | 死亡相关蛋白激酶3 |
别名 | DAP kinase 3, DAP-like kinase, Dlk, MYPT1 kinase, ZIP kinase, Dapk3, Zipk, ZIP |
Uniprot ID | O54784 |
免疫原 | 小鼠ZIP Kinase重组蛋白 |
抗体亚型 | IgG |
纯化方式 | 亲和纯化 |
亚细胞定位 | 细胞核, 细胞质 |
应用
| 应用 | 物种 | 稀释 | 阳性样品 |
| IHC/IF 免疫组织化学/免疫荧光 | 小鼠 | 1: 500-1: 2000 | 脑, 小肠 |
背景
DAPK3(Death-associated protein kinase 3) is also named as ZIPK(Zipper-interacting protein kinase),Dlk(DAP-like kinase). It is a member of the death-associated protein kinase family associated with apoptosis in nonmuscle cells where it phosphorylates myosin regulatory light chain (RLC) to promote membrane blebbing. DAPK3 mRNA and protein are abundant in heart tissue and isolated ventricular neonatal rat cardiac myocytes. It has 2 isoforms produced by alternative splicing,named as ZIPK-L and ZIPK-S. This antibody is specific to ZIPK-Phospho 311Ser.
图像
| IHC检测ZIP Kinase蛋白(货号 GB111907). 样品: 小鼠脑, 4%多聚甲醛 (货号G1101) 固定12-24小时. 抗原修复: 柠檬酸抗原修复液(干粉, pH 6.0) (G1201), 98℃, 20分钟. —抗: 1: 1000稀释, 4℃ 孵育过夜. 二抗: HRP标记山羊抗兔IgG (H+L) (货号GB23303), 1: 200稀释, 室温孵育1小时. |
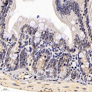
| IHC检测ZIP Kinase蛋白(货号 GB111907). 样品: 小鼠小肠, 4%多聚甲醛 (货号G1101) 固定12-24小时. 抗原修复: 柠檬酸抗原修复液(干粉, pH 6.0) (G1201), 98℃, 20分钟. —抗: 1: 1000稀释, 4℃ 孵育过夜. 二抗: HRP标记山羊抗兔IgG (H+L) (货号GB23303), 1: 200稀释, 室温孵育1小时. |
储存
| 储存条件 | 在-20℃下储存一年, 避免反复冻融. |
| 储存缓冲液 | 含0.15% ProClin300防腐剂, 100 μg/mL牛血清白蛋白和50%甘油的磷酸盐缓冲液. |
注意:
1.本产品仅供研究使用.
2.建议用一抗稀释液(G2025)稀释本产品.
| 货号 | 名称 | 规格 | 价格 | 操作 |
|---|
| 货号 | 名称 | 规格 | 价格 | 操作 |
|---|

