
Anti-TP53I11 Rabbit pAb
- 50 μL
产品信息
|
蛋白质全称 |
p53诱导蛋白11 |
|
别名 |
Transformation related protein 53 inducible protein 11, p53-induced gene 11 protein, Trp53i11, Pig11, Tp53i11 |
|
Uniprot ID |
Q4QQM4 |
|
免疫原 |
小鼠TP53I11重组蛋白 |
|
抗体亚型 |
IgG |
|
纯化方式 |
亲和纯化 |
|
亚细胞定位 |
膜 |
应用
| 应用 | 物种 | 稀释 | 阳性样品 |
| IHC/IF 免疫组织化学/免疫荧光 | 人 | 1: 500-1: 1500 | 肾, 肝癌, 子宫癌 |
背景
TP53I11 (Tumor protein p53 inducible protein 11), also referred to as PIG11 (p53-induced gene 11), is an early transcriptional target of tumor suppressor p53. It is up-regulated in the induction of apoptosis or cell growth inhibition by multiple chemopreventive agents. However, its biological role remains unclear.
图像
|
|
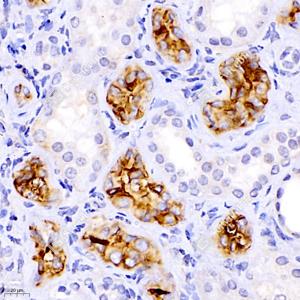
IHC检测TP53I11蛋白(货号 GB112444). 样品: 人肾, 4%多聚甲醛 (货号G1101) 固定12-24小时. 抗原修复: 柠檬酸抗原修复液(干粉, pH 6.0) (G1201), 98℃, 20分钟. —抗: 1: 500稀释, 4℃ 孵育过夜. 二抗: HRP标记山羊抗兔IgG (H+L) (货号GB23303), 1: 200稀释, 室温孵育1小时. |
|
|
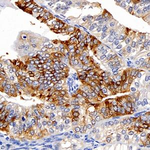
IHC检测TP53I11蛋白(货号 GB112444). 样品: 人肝癌, 4%多聚甲醛 (货号G1101) 固定12-24小时. 抗原修复: 柠檬酸抗原修复液(干粉, pH 6.0) (G1201), 98℃, 20分钟. —抗: 1: 500稀释, 4℃ 孵育过夜. 二抗: HRP标记山羊抗兔IgG (H+L) (货号GB23303), 1: 200稀释, 室温孵育1小时. |
|
|
IHC检测TP53I11蛋白(货号 GB112444). 样品: 人子宫癌, 4%多聚甲醛 (货号G1101) 固定12-24小时. 抗原修复: 柠檬酸抗原修复液(干粉, pH 6.0) (G1201), 98℃, 20分钟. —抗: 1: 500稀释, 4℃ 孵育过夜. 二抗: HRP标记山羊抗兔IgG (H+L) (货号GB23303), 1: 200稀释, 室温孵育1小时. |
储存
| 储存条件 | 在-20℃下储存一年, 避免反复冻融. |
| 储存缓冲液 | 含0.15% ProClin300防腐剂, 100 μg/mL牛血清白蛋白和50%甘油的磷酸盐缓冲液. |
注意:
1.本产品仅供研究使用.
2.建议用一抗稀释液(G2025)稀释本产品.
| 货号 | 名称 | 规格 | 价格 | 操作 |
|---|
| 货号 | 名称 | 规格 | 价格 | 操作 |
|---|


