
Anti-XIAP Rabbit pAb
- 50 μL
产品信息
|
蛋白质全称 |
E3泛素连接酶XIAP |
|
别名 |
Baculoviral IAP repeat-containing protein 4, IAP-like protein, API3, BIRC4, IAP3, XIAP, ILP, hILP, Inhibitor of apoptosis protein 3, IAP-3, hIAP3, X-linked IAP, Xiap, IAP-3, ILP1, MIHA, XLP2, X-linked inhibitor of apoptosis |
|
Uniprot ID |
Q60989 |
|
免疫原 |
KLH偶联的小鼠XIAP合成肽 |
|
抗体亚型 |
IgG |
|
纯化方式 |
亲和纯化 |
|
亚细胞定位 |
细胞核, 细胞质 |
应用
| 应用 | 物种 | 稀释 | 阳性样品 |
| IHC/IF 免疫组织化学/免疫荧光 | 人, 小鼠, 大鼠 | 1: 250-1: 1500 | 结肠癌, 纹状体, 肺 |
背景
XIAP, also named as API3, BIRC4 and IAP3, belongs to the IAP family. It has E3 ubiquitin-protein ligase activity. It mediates the proteasomal degradation of target proteins, such as caspase-3, SMAC or AIFM1. XIAP is an inhibitor of caspase-3, -7 and -9. It mediates activation of MAP3K7/TAK1, leading to the activation of NF-kappa-B. XIAP is an apoptotic suppressor. It is ubiquitinated and degraded by the proteasome in apoptotic cells.
图像
|
|
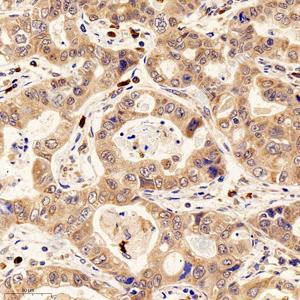
IHC检测XIAP蛋白(货号 GB11888). 样品: 大鼠胃, 4%多聚甲醛 (货号G1101) 固定12-24小时. 抗原修复: 柠檬酸抗原修复液(干粉, pH 6.0) (G1201), 98℃, 20分钟. —抗: 1: 800稀释, 4℃ 孵育过夜. 二抗: HRP标记山羊抗兔IgG (H+L) (货号GB23303), 1: 200稀释, 室温孵育1小时. |
|
|
IF检测XIAP蛋白(货号 GB11888)(红色). 样品: 小鼠纹状体, 4%多聚甲醛 (货号G1101) 固定12-24小时. 抗原修复: Tris-EDTA抗原修复液(pH 9.0) (G1203), 98℃, 20分钟. 封闭: 3% BSA(货号GC305010)的PBS溶液, 室温孵育30分钟. —抗: 1: 500稀释, 4℃ 孵育过夜. 二抗: Cy3标记山羊抗兔IgG (H+L) (货号GB21303), 1: 300稀释, 室温孵育1小时. |
|
|
IF检测XIAP蛋白(货号 GB11888)(红色). 样品: 大鼠肺, 4%多聚甲醛 (货号G1101) 固定12-24小时. 抗原修复: Tris-EDTA抗原修复液(pH 9.0) (G1203), 98℃, 20分钟. 封闭: 3% BSA(货号GC305010)的PBS溶液, 室温孵育30分钟. —抗: 1: 500稀释, 4℃ 孵育过夜. 二抗: Cy3标记山羊抗兔IgG (H+L) (货号GB21303), 1: 300稀释, 室温孵育1小时. |
储存
| 储存条件 | 在-20℃下储存一年, 避免反复冻融. |
| 储存缓冲液 | 含0.15% ProClin300防腐剂, 100 μg/mL牛血清白蛋白和50%甘油的磷酸盐缓冲液. |
注意:
1.本产品仅供研究使用.
2.建议用一抗稀释液(G2025)稀释本产品.
| 货号 | 名称 | 规格 | 价格 | 操作 |
|---|
| 货号 | 名称 | 规格 | 价格 | 操作 |
|---|


