
Anti-Bcl-2 Rabbit pAb
- 100 μL
产品信息
|
蛋白质全称 |
细胞凋亡调节因子Bcl-2 |
|
别名 |
BCL2, Bcl-2, PPP1R50, B-cell CLL/lymphoma 2, apoptosis regulator |
|
Uniprot ID |
P10417 |
|
免疫原 |
KLH偶联的小鼠Bcl-2合成肽 |
|
抗体亚型 |
IgG |
|
预测分子量./观测分子量. |
26 kDa / 26 kDa |
|
纯化方式 |
亲和纯化 |
|
亚细胞定位 |
线粒体外膜, 核膜, 内质网膜, 细胞质 |
应用
| 应用 | 物种 | 稀释 | 阳性样品 |
| WB 免疫印迹 | 小鼠 | 1: 500-1: 1000 | NIH 3T3细胞 |
| IHC/IF 免疫组织化学/免疫荧光 | 小鼠 | 1: 500-1: 1000 | 脾脏B16细胞肺转移癌模型, 脾 |
背景
Suppresses apoptosis in a variety of cell systems including factor-dependent lymphohematopoietic and neural cells . Regulates cell death by controlling the mitochondrial membrane permeability . Appears to function in a feedback loop system with caspases . Inhibits caspase activity either by preventing the release of cytochrome c from the mitochondria and/or by binding to the apoptosis-activating factor (APAF-1) . Also acts as an inhibitor of autophagy: interacts with BECN1 and AMBRA1 during non-starvation conditions and inhibits their autophagy function . May attenuate inflammation by impairing NLRP1-inflammasome activation, hence CASP1 activation and IL1B release .
图像
|
|
WB检测Bcl-2蛋白(货号 GB114830). 样品: 经RIPA裂解液(货号G2002)处理的蛋白质. 封闭: 3%脱脂牛奶(货号GC310001)溶于TBST溶液, 室温孵育1小时. —抗: 1: 1000稀释, 4℃ 孵育过夜. 二抗: HRP标记山羊抗兔IgG (H+L) (货号GB23303), 1: 5000稀释, 室温孵育1小时. |
|
|
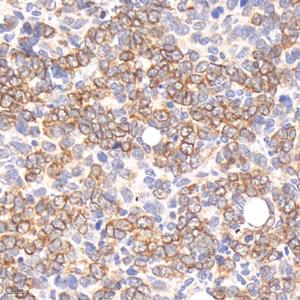
IHC检测Bcl-2蛋白(货号 GB114830). 样品: 小鼠B16细胞肺转移癌模型, 4%多聚甲醛 (货号G1101) 固定12-24小时. 抗原修复: 柠檬酸抗原修复液(干粉, pH 6.0) (G1201), 98℃, 20分钟. —抗: 1: 1000稀释, 4℃ 孵育过夜. 二抗: HRP标记山羊抗兔IgG (H+L) (货号GB23303), 1: 200稀释, 室温孵育1小时. |
|
|
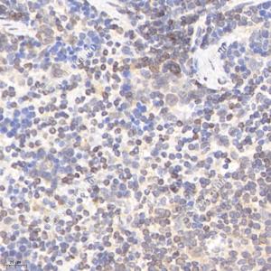
IHC检测Bcl-2蛋白(货号 GB114830). 样品: 小鼠脾, 4%多聚甲醛 (货号G1101) 固定12-24小时. 抗原修复: 柠檬酸抗原修复液(干粉, pH 6.0) (G1201), 98℃, 20分钟. —抗: 1: 1000稀释, 4℃ 孵育过夜. 二抗: HRP标记山羊抗兔IgG (H+L) (货号GB23303), 1: 200稀释, 室温孵育1小时. |
储存
| 储存条件 | 在-20℃下储存一年, 避免反复冻融. |
| 储存缓冲液 | 含0.15% ProClin300防腐剂, 100 μg/mL牛血清白蛋白和50%甘油的磷酸盐缓冲液. |
注意:
1.本产品仅供研究使用.
2.建议用一抗稀释液(G2025)稀释本产品.
| 货号 | 名称 | 规格 | 价格 | 操作 |
|---|
| 货号 | 名称 | 规格 | 价格 | 操作 |
|---|


