
Anti-C1QL2 Rabbit pAb
- 50 μL
产品信息
蛋白质全称 | 补体C1q样蛋白2 |
别名 | C1q and tumor necrosis factor-related protein 10, C1q/TNF-related protein 10, C1qTNF10, CTRP10, C1ql2, C1qtnf10 |
Uniprot ID | Q8CFR0 |
免疫原 | 小鼠C1QL2重组蛋白 |
抗体亚型 | IgG |
预测分子量./观测分子量. | 29 kDa / 38 kDa |
纯化方式 | 亲和纯化 |
亚细胞定位 | 分泌型 |
应用
| 应用 | 物种 | 稀释 | 阳性样品 |
| WB 免疫印迹 | 小鼠 | 1: 500-1: 1000 | 睾丸 |
| IHC/IF 免疫组织化学/免疫荧光 | 小鼠, 大鼠 | 1: 1000-1: 2000 | 眼球 |
背景
C1qL2, also known as CTRP10 or C1QTNF10, is a 287 amino acid secreted protein that contains one C1q domain and one collagen-like domain. C1qL2 belongs to a large family of multimeric proteins with a signature globular domain homologous to C1QA. These proteins also share structural homology with TNF family members. The gene that encodes C1qL2 consists of approximately 2,653 bases and maps to human chromosome 2q14.2.
图像
| WB检测C1QL2蛋白(货号 GB112115). 样品: 经RIPA裂解液(货号G2002)处理的蛋白质. 封闭: 3%脱脂牛奶(货号GC310001)溶于TBST溶液, 室温孵育1小时. —抗: 1: 500稀释, 4℃ 孵育过夜. 二抗: HRP标记山羊抗兔IgG (H+L) (货号GB23303), 1: 5000稀释, 室温孵育1小时. |
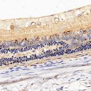
| IHC检测C1QL2蛋白(货号 GB112115). 样品: 小鼠眼球, 4%多聚甲醛 (货号G1101) 固定12-24小时. 抗原修复: 柠檬酸抗原修复液(干粉, pH 6.0) (G1201), 98℃, 20分钟. —抗: 1: 1000稀释, 4℃ 孵育过夜. 二抗: HRP标记山羊抗兔IgG (H+L) (货号GB23303), 1: 200稀释, 室温孵育1小时. |
| IHC检测C1QL2蛋白(货号 GB112115). 样品: 大鼠眼球, 4%多聚甲醛 (货号G1101) 固定12-24小时. 抗原修复: 柠檬酸抗原修复液(干粉, pH 6.0) (G1201), 98℃, 20分钟. —抗: 1: 1000稀释, 4℃ 孵育过夜. 二抗: HRP标记山羊抗兔IgG (H+L) (货号GB23303), 1: 200稀释, 室温孵育1小时. |
储存
| 储存条件 | 在-20℃下储存一年, 避免反复冻融. |
| 储存缓冲液 | 含0.15% ProClin300防腐剂, 100 μg/mL牛血清白蛋白和50%甘油的磷酸盐缓冲液. |
注意:
1.本产品仅供研究使用.
2.建议用一抗稀释液(G2025)稀释本产品.
| 货号 | 名称 | 规格 | 价格 | 操作 |
|---|
| 货号 | 名称 | 规格 | 价格 | 操作 |
|---|


