
Anti-CD45 Mouse mAb
- 50 μL
Product Information
Protein full name | Receptor-type tyrosine-protein phosphatase C (EC 3.1.3.48) (Leukocyte common antigen) (L-CA) (T200) (CD antigen CD45) |
Gene Id | 5788 |
Immunogen | Synthesized peptide derived from human CD45 (LCA) |
Uniprot ID | P08575 |
Source | Mouse/IgG2b, Kappa |
Concentration | 1 mg/ml |
Purity | The antibody was affinity-purified from mouse ascites by affinity-chromatography using specific immunogen. |
Applications
IHC/IF | Human | 1: 200-1: 500 | colon, tonsil |
Background
Protein tyrosine phosphatase, receptor type C encoded by PTPRC is a member of the protein tyrosine phosphatase (PTP) family. PTPs are known to be signaling molecules that regulate a variety of cellular processes including cell growth, differentiation, mitosis, and oncogenic transformation. This PTP contains an extracellular domain, a single transmembrane segment and two tandem intracytoplasmic catalytic domains, and thus is classified as a receptor type PTP. This PTP has been shown to be an essential regulator of T- and B-cell antigen receptor signaling. It functions through either direct interaction with components of the antigen receptor complexes, or by activating various Src family kinases required for the antigen receptor signaling. This PTP also suppresses JAK kinases, and thus functions as a regulator of cytokine receptor signaling. Alternatively spliced transcripts variants of PTPRC, which encode distinct isoforms, have been reported.
Images
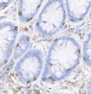
![]() | Immunohistochemistry analysis of paraffin embedded human colon using CD45 (GB14038) at dilution of 1: 100 |
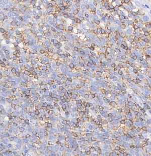
| Immunohistochemistry analysis of paraffin embedded human tonsil using CD45 (GB14038) at dilution of 1: 100 |
Storage
| Storage | Store at -20 ℃ for one year. Avoid repeated freeze/thaw cycles. |
| Storage Buffer | Liquid in PBS containing 50% glycerol, 0.5% BSA and 0.02% sodium azide. |
NOTE:
1.This product is intended for research only.
2.This product is recommended to dilute with the Primary Antibody Dilution Buffer (G2025).
| 货号 | 名称 | 规格 | 价格 | 操作 |
|---|
| 货号 | 名称 | 规格 | 价格 | 操作 |
|---|



