
Anti-CD45 Rabbit pAb
- 50 μL
产品信息
蛋白质全称 | 受体型酪氨酸蛋白磷酸酶C |
别名 | B220, CD45, CD45R, GP180, L-CA, LCA, Leukocyte common antigen, LY5, PTPRC, RPTPC, T200, Ly-5, protein tyrosine phosphatase receptor type C |
免疫原 | KLH偶联的小鼠CD45合成肽 |
Uniprot ID | P06800 |
抗体亚型 | IgG |
纯化方式 | 亲和纯化 |
亚细胞定位 | 细胞膜 |
应用
| 应用 | 物种 | 稀释 | 阳性样品 |
| IHC/IF 免疫组织化学/免疫荧光 | 小鼠 | 1: 1000-1: 4000 | 肝, 肺, 淋巴结+LPS |
背景
CD45, also known as leukocyte common antigen (LCA), B220, and T200, is a 180-240 kD single chain type I membrane glycoprotein. It is a tyrosine phosphatase expressed on the plasma membrane of all hematopoietic cells, except erythrocytes and platelets. CD45 is a signaling molecule that regulates a variety of cellular processes including cell growth, differentiation, cell cycle, and oncogenic transformation. CD45 is one of the best negative selection markers for characterizing and/or isolating human mesenchymal stem cells from bone marrow and other sources.
图像
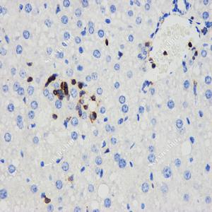
| IHC检测CD45蛋白(货号 GB11066). 样品: 小鼠肝, 4%多聚甲醛 (货号G1101) 固定12-24小时. 抗原修复: 柠檬酸抗原修复液(干粉, pH 6.0) (G1201), 高压锅均匀喷气计时2分钟. —抗: 1: 4000稀释, 4℃ 孵育过夜. 二抗: HRP标记山羊抗兔IgG (H+L) (货号GB23303), 1: 200稀释, 室温孵育1小时. |
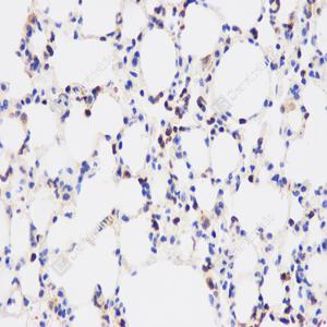
| IHC检测CD45蛋白(货号 GB11066). 样品: 小鼠肺, 4%多聚甲醛 (货号G1101) 固定12-24小时. 抗原修复: 柠檬酸抗原修复液(干粉, pH 6.0) (G1201), 高压锅均匀喷气计时2分钟. —抗: 1: 3000稀释, 4℃ 孵育过夜. 二抗: HRP标记山羊抗兔IgG (H+L) (货号GB23303), 1: 200稀释, 室温孵育1小时. |
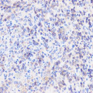
| IHC检测CD45蛋白(货号 GB11066). 样品: 小鼠脾炎(LPS), 4%多聚甲醛 (货号G1101) 固定12-24小时. 抗原修复: 柠檬酸抗原修复液(干粉, pH 6.0) (G1201), 高压锅均匀喷气计时2分钟. —抗: 1: 4000稀释, 4℃ 孵育过夜. 二抗: HRP标记山羊抗兔IgG (H+L) (货号GB23303), 1: 200稀释, 室温孵育1小时. |
| IF检测CD45蛋白(货号 GB11066)(红色). 样品: 小鼠淋巴结+脂多糖, 4%多聚甲醛 (货号G1101) 固定12-24小时. 抗原修复: 柠檬酸抗原修复液(干粉, pH 6.0) (G1201), 高压锅均匀喷气计时2分钟. 封闭: 3% BSA(货号GC305010)的PBS溶液, 室温孵育30分钟. —抗: 1: 4000稀释, 4℃ 孵育过夜. 二抗: Cy3标记山羊抗兔IgG (H+L) (货号GB21303), 1: 300稀释, 室温孵育1小时. |
储存
| 储存条件 | 在-20℃下储存一年, 避免反复冻融. |
| 储存缓冲液 | 含0.15% ProClin300防腐剂, 100 μg/mL牛血清白蛋白和50%甘油的磷酸盐缓冲液. |
注意:
1.本产品仅供研究使用.
2.建议用一抗稀释液(G2025)稀释本产品.
| 货号 | 名称 | 规格 | 价格 | 操作 |
|---|
| 货号 | 名称 | 规格 | 价格 | 操作 |
|---|



