
Anti-NAT1 Rabbit pAb
- 50 μL
产品信息
|
蛋白质全称 |
芳胺N-乙酰转移酶1 |
|
别名 |
AAC1, Arylamide acetylase 1, MNAT, N acetyltransferase type 1, NAT-1, NAT1, NATI |
|
Uniprot ID |
P50294 |
|
免疫原 |
小鼠NAT1重组蛋白 |
|
抗体亚型 |
IgG |
|
纯化方式 |
亲和纯化 |
|
亚细胞定位 |
细胞质 |
应用
| 应用 | 物种 | 稀释 | 阳性样品 |
| IHC/IF 免疫组织化学/免疫荧光 | 小鼠, 大鼠 | 1: 1500-1: 3000 | 肾, 膀胱 |
背景
This gene is one of two arylamine N-acetyltransferase (NAT) genes in the human genome, and is orthologous to the mouse and rat Nat2 genes. The enzyme encoded by this gene catalyzes the transfer of an acetyl group from acetyl-CoA to various arylamine and hydrazine substrates. This enzyme helps metabolize drugs and other xenobiotics, and functions in folate catabolism. Multiple transcript variants encoding different isoforms have been found for this gene.
图像
|
|
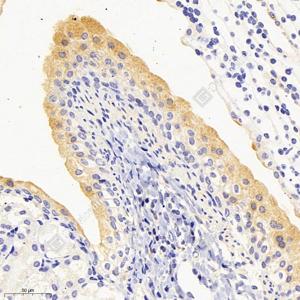
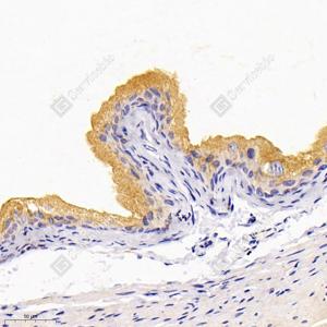
IHC检测NAT1蛋白(货号 GB113653). 样品: 小鼠肾, 4%多聚甲醛 (货号G1101) 固定12-24小时. 抗原修复: 柠檬酸抗原修复液(干粉, pH 6.0) (G1201), 98℃, 20分钟. —抗: 1: 2000稀释, 4℃ 孵育过夜. 二抗: HRP标记山羊抗兔IgG (H+L) (货号GB23303), 1: 200稀释, 室温孵育1小时. |
|
|
IHC检测NAT1蛋白(货号 GB113653). 样品: 小鼠膀胱, 4%多聚甲醛 (货号G1101) 固定12-24小时. 抗原修复: 柠檬酸抗原修复液(干粉, pH 6.0) (G1201), 98℃, 20分钟. —抗: 1: 2000稀释, 4℃ 孵育过夜. 二抗: HRP标记山羊抗兔IgG (H+L) (货号GB23303), 1: 200稀释, 室温孵育1小时. |
|
|
IHC检测NAT1蛋白(货号 GB113653). 样品: 大鼠膀胱, 4%多聚甲醛 (货号G1101) 固定12-24小时. 抗原修复: 柠檬酸抗原修复液(干粉, pH 6.0) (G1201), 98℃, 20分钟. —抗: 1: 1600稀释, 4℃ 孵育过夜. 二抗: HRP标记山羊抗兔IgG (H+L) (货号GB23303), 1: 200稀释, 室温孵育1小时. |
储存
| 储存条件 | 在-20℃下储存一年, 避免反复冻融. |
| 储存缓冲液 | 含0.15% ProClin300防腐剂, 100 μg/mL牛血清白蛋白和50%甘油的磷酸盐缓冲液. |
注意:
1.本产品仅供研究使用.
2.建议用一抗稀释液(G2025)稀释本产品.
| 货号 | 名称 | 规格 | 价格 | 操作 |
|---|
| 货号 | 名称 | 规格 | 价格 | 操作 |
|---|


