
Anti-IRBIT Rabbit pAb
- 100 μL
产品信息
|
蛋白质全称 |
S-腺苷同型半胱氨酸水解酶样蛋白1 |
|
别名 |
AdoHcyase 2, AHCYL1, DCAL, IRBIT, PRO0233, XPVKONA |
|
Uniprot ID |
Q80SW1 |
|
免疫原 |
小鼠IRBIT重组蛋白 |
|
抗体亚型 |
IgG |
|
纯化方式 |
亲和纯化 |
|
亚细胞定位 |
内质网, 细胞质 |
应用
| 应用 | 物种 | 稀释 | 阳性样品 |
| IHC/IF 免疫组织化学/免疫荧光 | 人 | 1: 1000-1: 2000 | 胰腺 |
背景
S-adenosylhomocysteine hydrolase-like protein 1 (AHCYL1), also known as IP3 receptor-binding protein released with IP3 (IRBIT), regulates IP3-induced Ca2+ release into the cytoplasm of cells(PMID:23145124). This protein is also named as DCAL, XPVKONA and belongs to the adenosylhomocysteinase family. AHCYL1 mRNA and protein are most abundant in the glandular epithelium of adenocarcinoma of cancerous, but not normal and AHCYL1 protein is predominantly in the nucleus(PMID:22826361). It has 2 isoforms produced by alternative splicing.
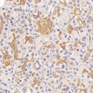
图像
|
|
IHC检测IRBIT蛋白(货号 GB114163). 样品: 人胰腺, 4%多聚甲醛 (货号G1101) 固定12-24小时. 抗原修复: 柠檬酸抗原修复液(干粉, pH 6.0) (G1201), 98℃, 20分钟. —抗: 1: 1000稀释, 4℃ 孵育过夜. 二抗: HRP标记山羊抗兔IgG (H+L) (货号GB23303), 1: 200稀释, 室温孵育1小时. |
|
|
IF检测IRBIT蛋白(货号 GB114163)(红色). 样品: 人胰腺, 4%多聚甲醛 (货号G1101) 固定12-24小时. 抗原修复: Tris-EDTA抗原修复液(pH 9.0) (G1203), 98℃, 20分钟. 封闭: 3% BSA(货号GC305010)的PBS溶液, 室温孵育30分钟. —抗: 1: 1000稀释, 4℃ 孵育过夜. 二抗: Cy3标记山羊抗兔IgG (H+L) (货号GB21303), 1: 300稀释, 室温孵育1小时. |
储存
| 储存条件 | 在-20℃下储存一年, 避免反复冻融. |
| 储存缓冲液 | 含0.15% ProClin300防腐剂, 100 μg/mL牛血清白蛋白和50%甘油的磷酸盐缓冲液. |
注意:
1.本产品仅供研究使用.
2.建议用一抗稀释液(G2025)稀释本产品.
| 货号 | 名称 | 规格 | 价格 | 操作 |
|---|
| 货号 | 名称 | 规格 | 价格 | 操作 |
|---|

