
Anti-GSTT1 Rabbit pAb
- 100 μL
产品信息
|
蛋白质全称 |
谷胱甘肽S-转移酶θ1 |
|
别名 |
Glutathione transferase T1 1, GST class theta 1, GSTT1 |
|
Uniprot ID |
Q64471 |
|
免疫原 |
KLH偶联的小鼠GSTT1合成肽 |
|
抗体亚型 |
IgG |
|
预测分子量./观测分子量. |
27 kDa / 27 kDa |
|
纯化方式 |
亲和纯化 |
|
亚细胞定位 |
细胞质, 细胞核 |
应用
| 应用 | 物种 | 稀释 | 阳性样品 |
| WB 免疫印迹 | 小鼠 | 1: 300-1: 1000 | 肝 |
| IHC/IF 免疫组织化学/免疫荧光 | 小鼠, 大鼠 | 1: 1000-1: 2000 | 脑, 睾丸, 肺 |
背景
GSTT1 belongs to the GST superfamily and Theta family. It is a conjugation of reduced glutathione to a wide number of exogenous and endogenous hydrophobic electrophiles. GSTT1 acts on 1,2-epoxy-3-(4-nitrophenoxy)propane, phenethylisothiocyanate 4-nitrobenzyl chloride and 4-nitrophenethyl bromide. It displays glutathione peroxidase activity with cumene hydroperoxide. GSTM1 and GSTT1 has been suggested as a risk factor in various cancers. GSTT1 is important in the detoxification of unidentified xenobiotics in the large intestine.
图像
|
|
WB检测GSTT1蛋白(货号 GB113777). 样品: 经RIPA裂解液(货号G2002)处理的蛋白质. 封闭: 3%脱脂牛奶(货号GC310001)溶于TBST溶液, 室温孵育1小时. —抗: 1: 300稀释, 4℃ 孵育过夜. 二抗: HRP标记山羊抗兔IgG (H+L) (货号GB23303), 1: 5000稀释, 室温孵育1小时. |
|
|
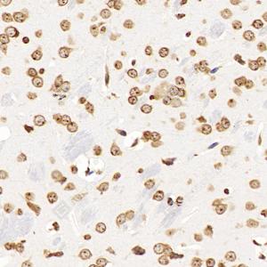
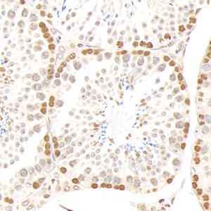
IHC检测GSTT1蛋白(货号 GB113777). 样品: 小鼠脑, 4%多聚甲醛 (货号G1101) 固定12-24小时. 抗原修复: 柠檬酸抗原修复液(干粉, pH 6.0) (G1201), 98℃, 20分钟. —抗: 1: 2000稀释, 4℃ 孵育过夜. 二抗: HRP标记山羊抗兔IgG (H+L) (货号GB23303), 1: 200稀释, 室温孵育1小时. |
|
|
IHC检测GSTT1蛋白(货号 GB113777). 样品: 小鼠睾丸, 4%多聚甲醛 (货号G1101) 固定12-24小时. 抗原修复: 柠檬酸抗原修复液(干粉, pH 6.0) (G1201), 98℃, 20分钟. —抗: 1: 2000稀释, 4℃ 孵育过夜. 二抗: HRP标记山羊抗兔IgG (H+L) (货号GB23303), 1: 200稀释, 室温孵育1小时. |
|
|
IHC检测GSTT1蛋白(货号 GB113777). 样品: 大鼠心, 4%多聚甲醛 (货号G1101) 固定12-24小时. 抗原修复: 柠檬酸抗原修复液(干粉, pH 6.0) (G1201), 98℃, 20分钟. —抗: 1: 2000稀释, 4℃ 孵育过夜. 二抗: HRP标记山羊抗兔IgG (H+L) (货号GB23303), 1: 200稀释, 室温孵育1小时. |
|
|
IHC检测GSTT1蛋白(货号 GB113777). 样品: 大鼠肺, 4%多聚甲醛 (货号G1101) 固定12-24小时. 抗原修复: 柠檬酸抗原修复液(干粉, pH 6.0) (G1201), 98℃, 20分钟. —抗: 1: 2000稀释, 4℃ 孵育过夜. 二抗: HRP标记山羊抗兔IgG (H+L) (货号GB23303), 1: 200稀释, 室温孵育1小时. |
储存
| 储存条件 | 在-20℃下储存一年, 避免反复冻融. |
| 储存缓冲液 | 含0.15% ProClin300防腐剂, 100 μg/mL牛血清白蛋白和50%甘油的磷酸盐缓冲液. |
注意:
1.本产品仅供研究使用.
2.建议用一抗稀释液(G2025)稀释本产品.
| 货号 | 名称 | 规格 | 价格 | 操作 |
|---|
| 货号 | 名称 | 规格 | 价格 | 操作 |
|---|




