
Anti-MAT2A Rabbit pAb
¥950
货号:YB114621-50
品牌:YIKE
规格:
- 50 μL
数量:
产品信息
蛋白质全称 | S-腺苷甲硫氨酸合酶II型 |
别名 | AdoMet synthase 2, AMS2, MAT 2, MAT II, MAT2A, MATA2, MATII, SAMS2 |
Uniprot ID | Q3THS6 |
免疫原 | KLH偶联的小鼠MAT2A合成肽 |
抗体亚型 | IgG |
预测分子量./观测分子量. | 44 kDa / 48 kDa |
纯化方式 | 亲和纯化 |
亚细胞定位 | 细胞质, 细胞核 |
应用
| 应用 | 物种 | 稀释 | 阳性样品 |
| WB 免疫印迹 | 人 | 1: 500-1: 1000 | HeLa细胞, Hep G2细胞, A549细胞 |
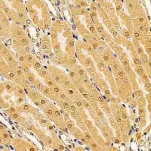
| IHC/IF 免疫组织化学/免疫荧光 | 小鼠 | 1: 300-1: 900 | 肾 |
背景
Catalyzes the formation of S-adenosylmethionine from methionine and ATP. The reaction comprises two steps that are both catalyzed by the same enzyme: formation of S-adenosylmethionine (AdoMet) and triphosphate, and subsequent hydrolysis of the triphosphate.
图像
| WB检测MAT2A蛋白(货号 GB114610). 样品: 经RIPA裂解液(货号G2002)处理的蛋白质. 封闭: 3%脱脂牛奶(货号GC310001)溶于TBST溶液, 室温孵育1小时. —抗: 1: 1000稀释, 4℃ 孵育过夜. 二抗: HRP标记山羊抗兔IgG (H+L) (货号GB23303), 1: 5000稀释, 室温孵育1小时. |
| IHC检测MAT2A蛋白(货号 GB114610). 样品: 小鼠肾, 4%多聚甲醛 (货号G1101) 固定12-24小时. 抗原修复: 柠檬酸抗原修复液(干粉, pH 6.0) (G1201), 98℃, 20分钟. —抗: 1: 900稀释, 4℃ 孵育过夜. 二抗: HRP标记山羊抗兔IgG (H+L) (货号GB23303), 1: 200稀释, 室温孵育1小时. |
储存
| 储存条件 | 在-20℃下储存一年, 避免反复冻融. |
| 储存缓冲液 | 含0.15% ProClin300防腐剂, 100 μg/mL牛血清白蛋白和50%甘油的磷酸盐缓冲液. |
注意:
1.本产品仅供研究使用.
2.建议用一抗稀释液(G2025)稀释本产品.
服务推荐
| 货号 | 名称 | 规格 | 价格 | 操作 |
|---|
产品推荐
| 货号 | 名称 | 规格 | 价格 | 操作 |
|---|

