
Anti-Legumain Rabbit pAb
- 100 μL
产品信息
|
蛋白质全称 |
Legumain冬酰胺内肽酶 |
|
别名 |
Asparaginyl endopeptidase, Protease, cysteine 1, Lgmn, Prsc1, AEP, Cysteine protease 1 |
|
Uniprot ID |
O89017 |
|
免疫原 |
小鼠Legumain重组蛋白 |
|
抗体亚型 |
IgG |
|
纯化方式 |
亲和纯化 |
|
亚细胞定位 |
溶酶体 |
应用
| 应用 | 物种 | 稀释 | 阳性样品 |
| IHC/IF 免疫组织化学/免疫荧光 | 小鼠, 大鼠 | 1: 100-1: 600 | 肾 |
背景
LGMN (Legumain), also known as asparaginyl endopeptidase or AEP, is a broadly expressed lysosomal cysteine endopeptidase that belongs to peptidase family C13 and specifcally hydrolyzes substrate asparaginyl bonds . LGMN directly regulates diverse physiological and pathological processes by remodeling tissue-specific targets . In addition, LGMN indirectly contributes to atherosclerotic plaque instability through activation of cathepsin L in the arterial ECM . LGMN is secreted as inactive prolegumain (56 kDa) and processed into enzymatically active 46 and 36 kDa forms, as well as a 17 kDa enzymatically inactive C-terminal fragment.
图像
|
|
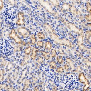
IHC检测Legumain蛋白(货号 GB111780). 样品: 小鼠肾, 4%多聚甲醛 (货号G1101) 固定12-24小时. 抗原修复: 柠檬酸抗原修复液(干粉, pH 6.0) (G1201), 98℃, 20分钟. —抗: 1: 300稀释, 4℃ 孵育过夜. 二抗: HRP标记山羊抗兔IgG (H+L) (货号GB23303), 1: 200稀释, 室温孵育1小时. |
|
|
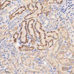
IHC检测Legumain蛋白(货号 GB111780). 样品: 大鼠肾, 4%多聚甲醛 (货号G1101) 固定12-24小时. 抗原修复: 柠檬酸抗原修复液(干粉, pH 6.0) (G1201), 98℃, 20分钟. —抗: 1: 300稀释, 4℃ 孵育过夜. 二抗: HRP标记山羊抗兔IgG (H+L) (货号GB23303), 1: 200稀释, 室温孵育1小时. |
储存
| 储存条件 | 在-20℃下储存一年, 避免反复冻融. |
| 储存缓冲液 | 含0.15% ProClin300防腐剂, 100 μg/mL牛血清白蛋白和50%甘油的磷酸盐缓冲液. |
注意:
1.本产品仅供研究使用.
2.建议用一抗稀释液(G2025)稀释本产品.
| 货号 | 名称 | 规格 | 价格 | 操作 |
|---|
| 货号 | 名称 | 规格 | 价格 | 操作 |
|---|

