
Anti-CLPP Rabbit pAb
- 50 μL
产品信息
|
蛋白质全称 |
依赖ATP的Clp蛋白酶水解亚基(线粒体型) |
|
别名 |
Endopeptidase Clp, clpP, ATP dependent proteolytic subunit homolog, Putative ATP-dependent Clp protease proteolytic subunit, ATP dependent proteolytic subunit homolog |
|
Uniprot ID |
O88696 |
|
免疫原 |
KLH偶联的小鼠CLPP合成肽 |
|
抗体亚型 |
IgG |
|
预测分子量./观测分子量. |
30 kDa / 25 kDa |
|
纯化方式 |
亲和纯化 |
|
亚细胞定位 |
线粒体 |
应用
| 应用 | 物种 | 稀释 | 阳性样品 |
| WB 免疫印迹 | 人, 小鼠, 大鼠 | 1: 1000-1: 3000 | 心, 肝, 肺 |
| IHC/IF 免疫组织化学/免疫荧光 | 人, 小鼠 | 1: 500-1: 3000 | 肾 |
背景
Protease component of the Clp complex that cleaves peptides and various proteins in an ATP-dependent process. Has low peptidase activity in the absence of CLPX. The Clp complex can degrade CSN1S1, CSN2 and CSN3, as well as synthetic peptides (in vitro) and may be responsible for a fairly general and central housekeeping function rather than for the degradation of specific substrates. Cleaves PINK1 in the mitochondrion.
图像
|
|
WB检测CLPP蛋白(货号 GB113918). 样品: 经RIPA裂解液(货号G2002)处理的蛋白质. 封闭: 3%脱脂牛奶(货号GC310001)溶于TBST溶液, 室温孵育1小时. —抗: 1: 1000稀释, 4℃ 孵育过夜. 二抗: HRP标记山羊抗兔IgG (H+L) (货号GB23303), 1: 5000稀释, 室温孵育1小时. |
|
|
WB检测CLPP蛋白(货号 GB113918). 样品: 经RIPA裂解液(货号G2002)处理的蛋白质. 封闭: 3%脱脂牛奶(货号GC310001)溶于TBST溶液, 室温孵育1小时. —抗: 1: 1000稀释, 4℃ 孵育过夜. 二抗: HRP标记山羊抗兔IgG (H+L) (货号GB23303), 1: 5000稀释, 室温孵育1小时. |
|
|
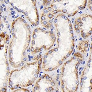
IHC检测CLPP蛋白(货号 GB113918). 样品: 人肾, 4%多聚甲醛 (货号G1101) 固定12-24小时. 抗原修复: 柠檬酸抗原修复液(干粉, pH 6.0) (G1201), 98℃, 20分钟. —抗: 1: 1500稀释, 4℃ 孵育过夜. 二抗: HRP标记山羊抗兔IgG (H+L) (货号GB23303), 1: 200稀释, 室温孵育1小时. |
|
|
IF检测CLPP蛋白(货号 GB113918)(红色). 样品: 人肾, 4%多聚甲醛 (货号G1101) 固定12-24小时. 抗原修复: Tris-EDTA抗原修复液(pH 9.0) (G1203), 98℃, 20分钟. 封闭: 3% BSA(货号GC305010)的PBS溶液, 室温孵育30分钟. —抗: 1: 500稀释, 4℃ 孵育过夜. 二抗: Cy3标记山羊抗兔IgG (H+L) (货号GB21303), 1: 300稀释, 室温孵育1小时. |
|
|
IF检测CLPP蛋白(货号 GB113918)(红色). 样品: 小鼠肾, 4%多聚甲醛 (货号G1101) 固定12-24小时. 抗原修复: Tris-EDTA抗原修复液(pH 9.0) (G1203), 98℃, 20分钟. 封闭: 3% BSA(货号GC305010)的PBS溶液, 室温孵育30分钟. —抗: 1: 500稀释, 4℃ 孵育过夜. 二抗: Cy3标记山羊抗兔IgG (H+L) (货号GB21303), 1: 300稀释, 室温孵育1小时. |
储存
| 储存条件 | 在-20℃下储存一年, 避免反复冻融. |
| 储存缓冲液 | 含0.15% ProClin300防腐剂, 100 μg/mL牛血清白蛋白和50%甘油的磷酸盐缓冲液. |
注意:
1.本产品仅供研究使用.
2.建议用一抗稀释液(G2025)稀释本产品.
| 货号 | 名称 | 规格 | 价格 | 操作 |
|---|
| 货号 | 名称 | 规格 | 价格 | 操作 |
|---|




