
Anti-XAB2 Rabbit pAb
- 50 μL
产品信息
|
蛋白质全称 |
前mRNA剪接因子SYF1 |
|
别名 |
HCNP, HCRN, KIAA1177, NTC90, Pre mRNA splicing factor SYF1, Protein HCNP, SYF1, XAB2, XPA binding protein 2 |
|
Uniprot ID |
Q9DCD2 |
|
免疫原 |
KLH偶联的小鼠XAB2合成肽 |
|
抗体亚型 |
IgG |
|
纯化方式 |
亲和纯化 |
|
亚细胞定位 |
细胞核 |
应用
| 应用 | 物种 | 稀释 | 阳性样品 |
| IHC/IF 免疫组织化学/免疫荧光 | 小鼠, 大鼠 | 1: 1500-1: 3000 | 睾丸 |
背景
XPA-binding protein 2 (XAB2) a tetratricopeptide repeat protein involved in transcription-coupled DNA repair and transcription. XAB2 is involved in pre-mRNA splicing, transcription, and transcription-coupled DNA repair, leading to preimplantation lethality, and is essential for mouse embryogenesis. It interactes with Cockayne syndrome groups A and B (CSA and CSB) proteins and RNA polymerase II, which are known to be involved in transcription-coupled repair (TCR) and transcription, and that the antibodies against XAB2 protein inhibited the recovery of RNA synthesis after UV irradiation and normal RNA synthesis when microinjected into living fibroblasts.
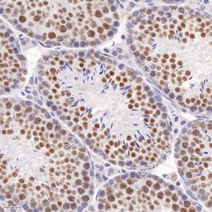
图像
|
|
IHC检测XAB2蛋白(货号 GB114137). 样品: 小鼠睾丸, 4%多聚甲醛 (货号G1101) 固定12-24小时. 抗原修复: 柠檬酸抗原修复液(干粉, pH 6.0) (G1201), 98℃, 20分钟. —抗: 1: 2000稀释, 4℃ 孵育过夜. 二抗: HRP标记山羊抗兔IgG (H+L) (货号GB23303), 1: 200稀释, 室温孵育1小时. |
|
|
IHC检测XAB2蛋白(货号 GB114137). 样品: 大鼠睾丸, 4%多聚甲醛 (货号G1101) 固定12-24小时. 抗原修复: 柠檬酸抗原修复液(干粉, pH 6.0) (G1201), 98℃, 20分钟. —抗: 1: 2000稀释, 4℃ 孵育过夜. 二抗: HRP标记山羊抗兔IgG (H+L) (货号GB23303), 1: 200稀释, 室温孵育1小时. |
|
|
IF检测XAB2蛋白(货号 GB114137)(红色). 样品: 大鼠睾丸, 4%多聚甲醛 (货号G1101) 固定12-24小时. 抗原修复: Tris-EDTA抗原修复液(pH 9.0) (G1203), 98℃, 20分钟. 封闭: 3% BSA(货号GC305010)的PBS溶液, 室温孵育30分钟. —抗: 1: 1000稀释, 4℃ 孵育过夜. 二抗: Cy3标记山羊抗兔IgG (H+L) (货号GB21303), 1: 300稀释, 室温孵育1小时. |
储存
| 储存条件 | 在-20℃下储存一年, 避免反复冻融. |
| 储存缓冲液 | 含0.15% ProClin300防腐剂, 100 μg/mL牛血清白蛋白和50%甘油的磷酸盐缓冲液. |
注意:
1.本产品仅供研究使用.
2.建议用一抗稀释液(G2025)稀释本产品.
| 货号 | 名称 | 规格 | 价格 | 操作 |
|---|
| 货号 | 名称 | 规格 | 价格 | 操作 |
|---|


