
Anti-ALKBH3 Rabbit pAb
- 50 μL
产品信息
|
蛋白质全称 |
α-酮戊二酸依赖双加氧酶alkB同源物3 |
|
别名 |
ABH3, ALKBH3, DEPC 1, DEPC1, PCA1, Prostate cancer antigen 1 |
|
Uniprot ID |
Q8K1E6 |
|
免疫原 |
KLH偶联的小鼠ALKBH3合成肽 |
|
抗体亚型 |
IgG |
|
纯化方式 |
亲和纯化 |
|
亚细胞定位 |
细胞核, 细胞质 |
应用
| 应用 | 物种 | 稀释 | 阳性样品 |
| IHC/IF 免疫组织化学/免疫荧光 | 人 | 1: 400-1: 800 | 肝癌, 乳腺癌 |
背景
Dioxygenase that mediates demethylation of DNA and RNA containing 1-methyladenosine (m1A). Repairs alkylated DNA containing 1-methyladenosine (m1A) and 3-methylcytosine (m3C) by oxidative demethylation . Has a strong preference for single-stranded DNA . Able to process alkylated m3C within double-stranded regions via its interaction with ASCC3, which promotes DNA unwinding to generate single-stranded substrate needed for ALKBH3. Also acts on RNA. Demethylates N(1)-methyladenosine (m1A) RNA, an epigenetic internal modification of messenger RNAs (mRNAs) highly enriched within 5'-untranslated regions (UTRs) and in the vicinity of start codons. Requires molecular oxygen, alpha-ketoglutarate and iron.
图像
|
|
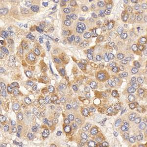
IHC检测ALKBH3蛋白(货号 GB114741). 样品: 人肝癌, 4%多聚甲醛 (货号G1101) 固定12-24小时. 抗原修复: 柠檬酸抗原修复液(干粉, pH 6.0) (G1201), 98℃, 20分钟. —抗: 1: 400稀释, 4℃ 孵育过夜. 二抗: HRP标记山羊抗兔IgG (H+L) (货号GB23303), 1: 200稀释, 室温孵育1小时. |
|
|
IHC检测ALKBH3蛋白(货号 GB114741). 样品: 人乳腺癌, 4%多聚甲醛 (货号G1101) 固定12-24小时. 抗原修复: 柠檬酸抗原修复液(干粉, pH 6.0) (G1201), 98℃, 20分钟. —抗: 1: 400稀释, 4℃ 孵育过夜. 二抗: HRP标记山羊抗兔IgG (H+L) (货号GB23303), 1: 200稀释, 室温孵育1小时. |
储存
| 储存条件 | 在-20℃下储存一年, 避免反复冻融. |
| 储存缓冲液 | 含0.15% ProClin300防腐剂, 100 μg/mL牛血清白蛋白和50%甘油的磷酸盐缓冲液. |
注意:
1.本产品仅供研究使用.
2.建议用一抗稀释液(G2025)稀释本产品.
| 货号 | 名称 | 规格 | 价格 | 操作 |
|---|
| 货号 | 名称 | 规格 | 价格 | 操作 |
|---|

