
Anti-REDD-1/DDIT4 Rabbit pAb
- 50 μL
产品信息
|
蛋白质全称 |
DNA损伤诱导转录本4蛋白 |
|
别名 |
Ddit4, DDIT4, Dig2, REDD-1, REDD1, DNA damage inducible transcript 4 |
|
Uniprot ID |
Q9D3F7 |
|
免疫原 |
小鼠DDIT4重组蛋白 |
|
抗体亚型 |
IgG |
|
纯化方式 |
亲和纯化 |
|
亚细胞定位 |
细胞质 |
应用
| 应用 | 物种 | 稀释 | 阳性样品 |
| IHC/IF 免疫组织化学/免疫荧光 | 小鼠, 大鼠 | 1: 500-1: 3000 | 肺, 胰腺, 睾丸 |
背景
DNA-damage-inducible transcript 4 (DDIT4) protein is a protein encoded by the DDIT4 gene. DDIT4 acts as a negative regulator of mTOR, a serine/threonine kinase that regulates a variety of cellular functions such as growth, proliferation and autophagy. In particular, upregulation of HIF-1 in response to hypoxia upregulates DDIT4, leading to activation of Tsc1/2 via 14–3–3 shuttling and subsequent downregulation of mTOR via Rheb. In addition to hypoxia, DDIT4 expression has also been shown to be activated by DNA damage and energy stress.
图像
|
|
IHC检测REDD-1/DDIT4蛋白(货号 GB11937). 样品: 小鼠肺, 4%多聚甲醛 (货号G1101) 固定12-24小时. 抗原修复: 柠檬酸抗原修复液(干粉, pH 6.0) (G1201), 98℃, 20分钟. —抗: 1: 1200稀释, 4℃ 孵育过夜. 二抗: HRP标记山羊抗兔IgG (H+L) (货号GB23303), 1: 200稀释, 室温孵育1小时. |
|
|
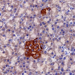
IHC检测REDD-1/DDIT4蛋白(货号 GB11937). 样品: 小鼠胰腺, 4%多聚甲醛 (货号G1101) 固定12-24小时. 抗原修复: 柠檬酸抗原修复液(干粉, pH 6.0) (G1201), 98℃, 20分钟. —抗: 1: 1200稀释, 4℃ 孵育过夜. 二抗: HRP标记山羊抗兔IgG (H+L) (货号GB23303), 1: 200稀释, 室温孵育1小时. |
|
|
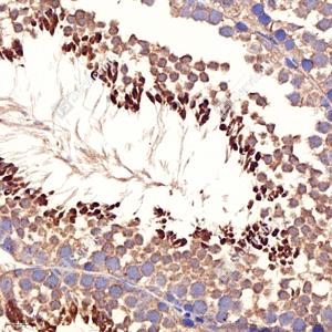
IHC检测REDD-1/DDIT4蛋白(货号 GB11937). 样品: 小鼠睾丸, 4%多聚甲醛 (货号G1101) 固定12-24小时. 抗原修复: 柠檬酸抗原修复液(干粉, pH 6.0) (G1201), 98℃, 20分钟. —抗: 1: 1200稀释, 4℃ 孵育过夜. 二抗: HRP标记山羊抗兔IgG (H+L) (货号GB23303), 1: 200稀释, 室温孵育1小时. |
|
|
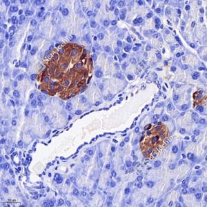
IHC检测REDD-1/DDIT4蛋白(货号 GB11937). 样品: 大鼠胰腺, 4%多聚甲醛 (货号G1101) 固定12-24小时. 抗原修复: 柠檬酸抗原修复液(干粉, pH 6.0) (G1201), 98℃, 20分钟. —抗: 1: 1200稀释, 4℃ 孵育过夜. 二抗: HRP标记山羊抗兔IgG (H+L) (货号GB23303), 1: 200稀释, 室温孵育1小时. |
储存
| 储存条件 | 在-20℃下储存一年, 避免反复冻融. |
| 储存缓冲液 | 含0.15% ProClin300防腐剂, 100 μg/mL牛血清白蛋白和50%甘油的磷酸盐缓冲液. |
注意:
1.本产品仅供研究使用.
2.建议用一抗稀释液(G2025)稀释本产品.
| 货号 | 名称 | 规格 | 价格 | 操作 |
|---|
| 货号 | 名称 | 规格 | 价格 | 操作 |
|---|



