
Anti-ERCC1 Rabbit pAb
- 50 μL
产品信息
|
蛋白质全称 |
DNA切除修复蛋白ERCC-1 |
|
别名 |
Ercc1, Ercc-1, UV20, COFS4, excision repair cross-complementation group 1, excision repair cross-complementing 1 |
|
Uniprot ID |
P07903 |
|
免疫原 |
小鼠ERCC1重组蛋白 |
|
抗体亚型 |
IgG |
|
预测分子量./观测分子量. |
33 kDa / 38 kDa |
|
纯化方式 |
亲和纯化 |
|
亚细胞定位 |
细胞核 |
应用
| 应用 | 物种 | 稀释 | 阳性样品 |
| WB 免疫印迹 | 人 | 1: 500-1: 1000 | HeLa细胞, MCF7细胞, HepG2细胞 |
| IHC/IF 免疫组织化学/免疫荧光 | 人, 小鼠 | 1: 1000-1: 2000 | 结肠癌,食道癌, 肺 |
背景
Excision Repair Cross Complementing 1 (ERCC1) is a structure-specific endonuclease that is responsible for the 5'-incision during damaged-DNA repair. It forms a complex with ERCC11, XPF and ERCC4, which are required in both recombinatorial repair and nucleotide excision repair. It has been found that ERCC1, together with RRM1, are determinants of survival after surgical treatment of early-stage, non-small-cell lung cancer.
图像
|
|
WB检测ERCC1蛋白(货号 GB111374). 样品: 经RIPA裂解液(货号G2002)处理的蛋白质. 封闭: 3%脱脂牛奶(货号GC310001)溶于TBST溶液, 室温孵育1小时. —抗: 1: 1000稀释, 4℃ 孵育过夜. 二抗: HRP标记山羊抗兔IgG (H+L) (货号GB23303), 1: 5000稀释, 室温孵育1小时. |
|
|
IHC检测ERCC1蛋白(货号 GB111374). 样品: 小鼠肝, 4%多聚甲醛 (货号G1101) 固定12-24小时. 抗原修复: Tris-EDTA抗原修复液(pH 9.0) (G1203), 98℃, 20分钟. —抗: 1: 1000稀释, 4℃ 孵育过夜. 二抗: HRP标记山羊抗兔IgG (H+L) (货号GB23303), 1: 200稀释, 室温孵育1小时. |
|
|
IHC检测ERCC1蛋白(货号 GB111374). 样品: 小鼠肺, 4%多聚甲醛 (货号G1101) 固定12-24小时. 抗原修复: Tris-EDTA抗原修复液(pH 9.0) (G1203), 98℃, 20分钟. —抗: 1: 1000稀释, 4℃ 孵育过夜. 二抗: HRP标记山羊抗兔IgG (H+L) (货号GB23303), 1: 200稀释, 室温孵育1小时. |
|
|
IHC检测ERCC1蛋白(货号 GB111374). 样品: 小鼠脊髓, 4%多聚甲醛 (货号G1101) 固定12-24小时. 抗原修复: Tris-EDTA抗原修复液(pH 9.0) (G1203), 98℃, 20分钟. —抗: 1: 1000稀释, 4℃ 孵育过夜. 二抗: HRP标记山羊抗兔IgG (H+L) (货号GB23303), 1: 200稀释, 室温孵育1小时. |
|
|
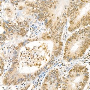
IHC检测ERCC1蛋白(货号 GB111374). 样品: 人结肠癌, 4%多聚甲醛 (货号G1101) 固定12-24小时. 抗原修复: Tris-EDTA抗原修复液(pH 9.0) (G1203), 98℃, 20分钟. —抗: 1: 1000稀释, 4℃ 孵育过夜. 二抗: HRP标记山羊抗兔IgG (H+L) (货号GB23303), 1: 200稀释, 室温孵育1小时. |
储存
| 储存条件 | 在-20℃下储存一年, 避免反复冻融. |
| 储存缓冲液 | 含0.15% ProClin300防腐剂, 100 μg/mL牛血清白蛋白和50%甘油的磷酸盐缓冲液. |
注意:
1.本产品仅供研究使用.
2.建议用一抗稀释液(G2025)稀释本产品.
| 货号 | 名称 | 规格 | 价格 | 操作 |
|---|
| 货号 | 名称 | 规格 | 价格 | 操作 |
|---|




