
小鼠自身免疫性脑脊髓炎模型
¥1100
货号:YA1220
品牌:YIKE
规格:
- 只
数量:
服务介绍:
多发性硬化症(Multiple Sclerosis,MS)是一种发生于中枢神经系统的炎症性脱髓鞘疾病。其中实验性自身免疫性脑脊髓炎模型(Experimental Autoimmune Encephalomyelitis,EAE)是研究该疾病的基本模型,常以 MOG 诱导。
货号 | 名称 | 规格 |
GA1209 | 小自身免疫性脑脊髓炎模型 | 只 |
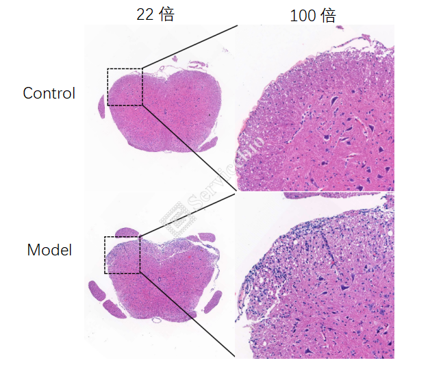
实验结果展示:
1、小鼠-脊髓HE染色

2、小鼠-脊髓LFB染色

实验流程:
小鼠EAE模型,采用MOG诱导造模。
仅供科研用途,不可用于临床诊断!
服务推荐
| 货号 | 名称 | 规格 | 价格 | 操作 |
|---|
产品推荐
| 货号 | 名称 | 规格 | 价格 | 操作 |
|---|

