
透射电镜拍照
¥400
货号:YP2017
品牌:YIKE
规格:
- 张
数量:
产品介绍:
透射电镜(TEM)可以清楚的观察到在普通光学显微镜下无法看清的动植物细胞内的超微结构,比如线粒体、内质网、高尔基体、溶酶体、自噬小体、凋亡小体、叶绿体、液泡、细胞内生细菌等结构及病理变化。透射电镜除了能够显示细胞内的超微结构之外还可用于观察病毒颗粒、外泌体、病原微生物、各类细菌真菌、纳米材料及纳米颗粒、晶体结构等。目前已经广泛应用于细胞生物学、组织学、病毒学、病理学、分子生物学、材料科学等诸多研究领域,是观察和研究物质超微结构的强有力工具。
实验流程:
(1)样本接收:铅铀双染铜网+电镜送样单(附拍照要求)
(2)实验步骤:染色好的铜网上机观察(放大倍数0.2K-600K)根据实际情况选取合适倍数合适视野拍照
(3)实验结果:15张TIFF格式图片
注意事项:
1.拍照需要求简洁清楚,有侧重点。需附参考图或参考文献(如有特殊要求请提前备注说明)
2.拍照倍数由参考文献效果图来确定(不同机器不同厂家倍数标准不同,不能互通参考)
3.图片本身左下角附有拍照倍数(X-K 单位千倍),右下角附有标尺(十格总长即为标尺所注长度)
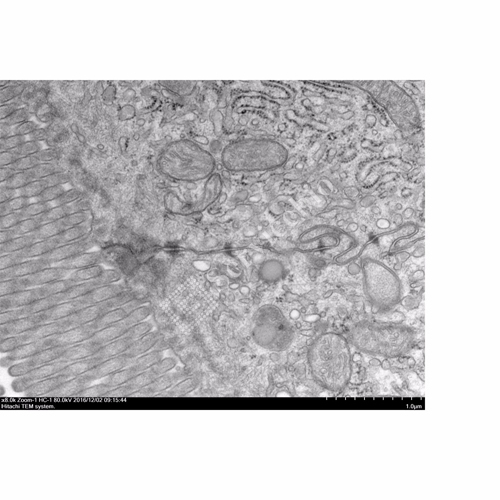
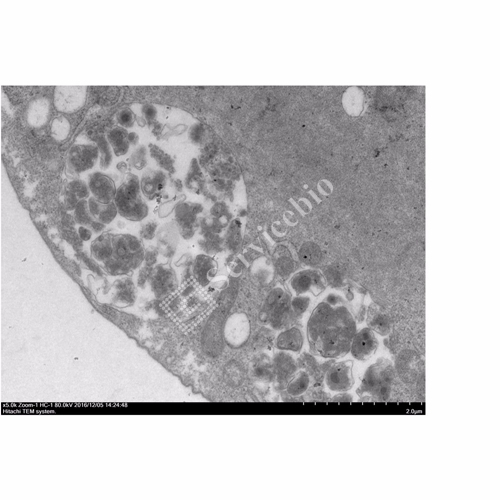
实验效果图展示:
1、小鼠骨骼肌

2、肠上皮紧密连接

3、叶绿体

4、自噬溶酶体

5、外泌体

送样运输要求:
铜网,常温运输
仅供科研用途,不可用于临床诊断!
服务推荐
| 货号 | 名称 | 规格 | 价格 | 操作 |
|---|
产品推荐
| 货号 | 名称 | 规格 | 价格 | 操作 |
|---|





