
TUNEL(白光)检测
¥100
货号:YDP1052
品牌:YIKE
规格:
- 张
数量:
服务介绍:
晚期凋亡细胞中染色体DNA双链或单链断裂产生粘性3'-OH末端,在脱氧核糖核苷酸末端转移酶(TdT)的催化下,将带有生物素(Biotin)分子的dUTP,标记到DNA的3'-末端,随后和辣根过氧化物酶(HRP)标记的链酶亲和素Streptavidin (Streptavidin-HRP)结合,最后通过DAB显色来显示凋亡细胞,从而可以通过普通光学显微镜检测到凋亡的细胞,这就是TUNEL(TdT-mediated dUTP Nick-End Labeling)法检测细胞凋亡的原理。
货号 | 名称 | 规格 | 价格(元) |
GDP1041 | TUNEL(白光)检测 | 张 | 100 |
实验结果展示:
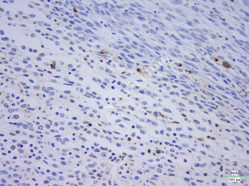
TUNEL(白光)检测-小鼠肿瘤

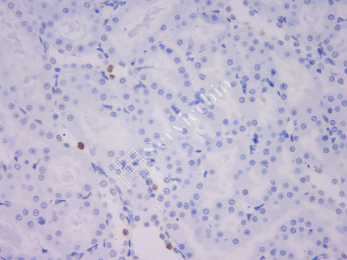
TUNEL(白光)检测-小鼠肾

实验流程:
脱蜡至水--蛋白酶K修复--破膜通透--孵育tunel反应液--孵育Streptavidin-HRP反应液-- DAB显色--苏木素染核--脱水封片--镜检拍照
送样运输要求:
石蜡切片常温、冰冻切片-20℃、细胞沉淀用PFA固定15min后用无菌PBS(G4202)洗涤后用无菌PBS(G4202)将细胞悬浮并装入离心管(管口封口膜封好) 4℃冰袋保存运输到实验室。
仅供科研用途,不可用于临床诊断!
服务推荐
| 货号 | 名称 | 规格 | 价格 | 操作 |
|---|
产品推荐
| 货号 | 名称 | 规格 | 价格 | 操作 |
|---|

