
油红O染色
¥20
货号:YP1078
品牌:YIKE
规格:
- 张
数量:
服务介绍:
油红O染料在脂质中的溶解度大于在有机溶剂的溶解度,所以染色时染料便从染液中转移到被染的脂质中去,使脂质呈现出红色。常用于鉴别肝空泡变形的性质,心肌、血管等脂质沉积;由于脂质易溶于有机溶剂,一般应采用冰冻切片。
| 货号 | 名称 | 规格 | 价格(元) |
| GP1067 | 油红O染色 | 张 | 20 |
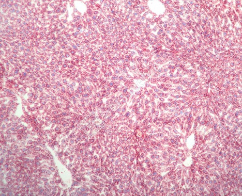
实验结果展示:
油红染色-小鼠肝脏

实验流程:
冰冻切片晾干-油红染色-分化-苏木素染色-分化-返蓝-甘油明胶封片-显微镜镜检。
结果判读:
脂滴橙红色至鲜红色,细胞核浅蓝色
送样运输要求:
1、样本放置于20倍样本体积的固定液中固定24h以上,常温运输送样。
切勿固定时间过长,切勿冷冻结冰;
2、新鲜组织干冰运输。
3、冰冻切片-20℃运输。
仅供科研用途,不可用于临床诊断!
服务推荐
| 货号 | 名称 | 规格 | 价格 | 操作 |
|---|
产品推荐
| 货号 | 名称 | 规格 | 价格 | 操作 |
|---|
