
改良天狼猩红染色
- 张
服务介绍:
货号 | 名称 | 规格 | 价格 |
改良天狼猩红染色 | 张 | 20 | |
改良天狼猩红染色扫描分析全套 | 张 | 50 |
胶原纤维(Collagen Fiber)是结缔组织中分布最广泛含量最多的一种纤维,广泛分布于各种脏器,其中Ⅰ型胶原纤维主要分布于成人皮肤、骨、肌腱等;Ⅱ型胶原纤维主要分布于软骨、椎间盘等;Ⅲ型胶原纤维主要分布于胚胎组织、婴儿皮肤、血管、胃肠道等;Ⅳ型胶原纤维主要分布于基膜中;V型胶原纤维多位于头发、胎盘等处。区分Ⅰ、Ⅲ型胶原最好的染色方法就是天狼猩红染色,天狼猩红是强酸性染料,易与胶原分子中的碱性基团结合,吸附牢固;胶原纤维有正的单轴双折射光的属性,与天狼猩红染料结合后,可增强双折射,提高分辨率,在偏振光显微镜下观察,Ⅰ型胶原较粗大,呈强双折射为黄色或红色,而Ⅲ型胶原较细小,为弱折射,呈绿色。
传统的天狼猩红染液由苦味酸配制,由于苦味酸有易燃易爆的风险,吸入、眼睛接触、皮肤接触、吞咽等有毒,危险系数较高。因此,我司推出了安全系数相对较高的改良天狼猩红染液。
本改良天狼猩红染色试剂盒主要由天狼猩红染液A液、天狼猩红染液B液和天狼猩红染液C液组成,不含苦味酸。主要用于各种组织病变时对胶原纤维异常或增生的研究,在偏振光镜下对各种纤维化病变的分型和分级研究也有一定的帮助。为保证染色成像效果,染色后一个月内成像,建议在我司做天狼猩红染色扫描分析全套(GP2089)。
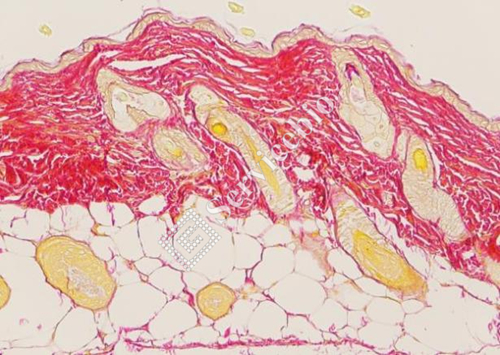
实验结果展示:
小鼠皮肤


实验大体流程:
石蜡切片脱蜡至水-天狼猩红染液A液媒染-天狼猩红染液B液预染-天狼猩红染液C液染色-酒精脱水-二甲苯透明-中性树胶封片。
结果判读:
光学显微镜观察结果 | 胶原纤维 | 红色 |
肌纤维及其它成分 | 黄色 | |
偏振光镜观察结果 | Ⅰ型胶原纤维 | 橙红色或亮黄色 |
Ⅲ型胶原纤维 | 绿色 |
送样运输要求:
1.样本放置于20倍样本体积的固定液中固定24h以上,常温运输送样。切勿固定时间过长,切勿冷冻结冰。
2.石蜡切片常温运输,冰冻切片-20℃运输。
仅供科研用途,不可用于临床诊断!
| 货号 | 名称 | 规格 | 价格 | 操作 |
|---|
| 货号 | 名称 | 规格 | 价格 | 操作 |
|---|

