
免疫组化(组织芯片)
¥120
货号:YDP1013
品牌:YIKE
规格:
- 张
数量:
服务介绍:
组织芯片免疫组化染色,是将多种组织以规则的微阵列方式排列于同一载体上,同时进行相同指标的免疫组化检测。组织芯片具有体积小, 标本信息含量大 , 一次性实验即可获大量结果。实验条件更易控制一致,减少批间批内误差,结果更准确。节省试剂,节省人力物力等优点。
| 货号 | 名称 | 规格 | 价格(元) |
| GDP1002 | 免疫组化(组织芯片) | 张 | 120 |
实验结果展示:
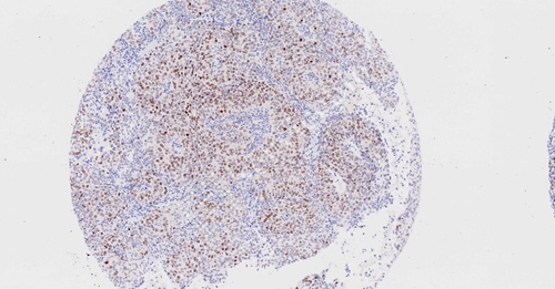
H鳞癌-KI67_0.4x

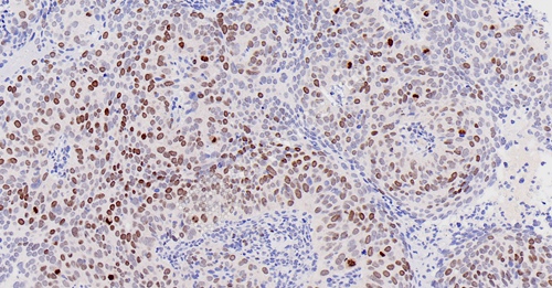
H鳞癌-KI67_5.8x

H鳞癌-KI67_14.3x

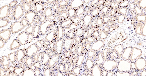
人甲状腺芯片-FOXA1_0.4x

人甲状腺芯片-FOXA1_2.2x

人甲状腺芯片-FOXA1_12.8x

实验流程:
切片脱蜡至水-抗原修复-3%的双氧水处理-画圈-血清封闭-一抗4℃过夜孵育-二抗室温孵育-显色-苏木素染核-脱水、透明、封片-镜检
送样运输要求:
注意事项:
1)石蜡切片制片,组织取样后应立即放入固定液中,避免冻存;
2)冰冻切片制片应取用新鲜组织,以免抗原丢失;
3)组织蜡块可以保存很长时间,但是石蜡切片理论上不能超过半年。
仅供科研用途,不可用于临床诊断!
服务推荐
| 货号 | 名称 | 规格 | 价格 | 操作 |
|---|
产品推荐
| 货号 | 名称 | 规格 | 价格 | 操作 |
|---|





