
800倍放大多层精细扫描
¥200
货号:YDP2221
品牌:YIKE
规格:
- 张
数量:
服务介绍:
数字切片扫描是将物质化的玻片标本快速数字化的过程,能高效、高清晰、全信息的图像采集,是真正脱离显微镜的阅片方式。能长期保存,可满足临床、科研、教学等多种用途。多层精细扫描针对于图片清晰度及放大倍数有更高需求的,最高可放大800倍,可逐层查看。
| 货号 | 名称 | 规格 | 价格(元) |
| GDP2210 | 多层精细扫描 | 张 |
200起 |
实验结果展示:
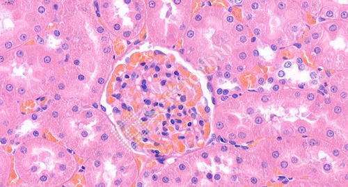
1、大鼠肾 多层精细扫描

2、普通扫描与精细扫描对比图 800X

实验流程:
(1)样片接收:石蜡切片 冰冻切片等
(2)实验步骤:切片清理-入机扫描-结果整理
(3)实验结果:电子版扫描结果
送样运输要求:
切片盒保存运输
仅供科研用途,不可用于临床诊断!
服务推荐
| 货号 | 名称 | 规格 | 价格 | 操作 |
|---|
产品推荐
| 货号 | 名称 | 规格 | 价格 | 操作 |
|---|

